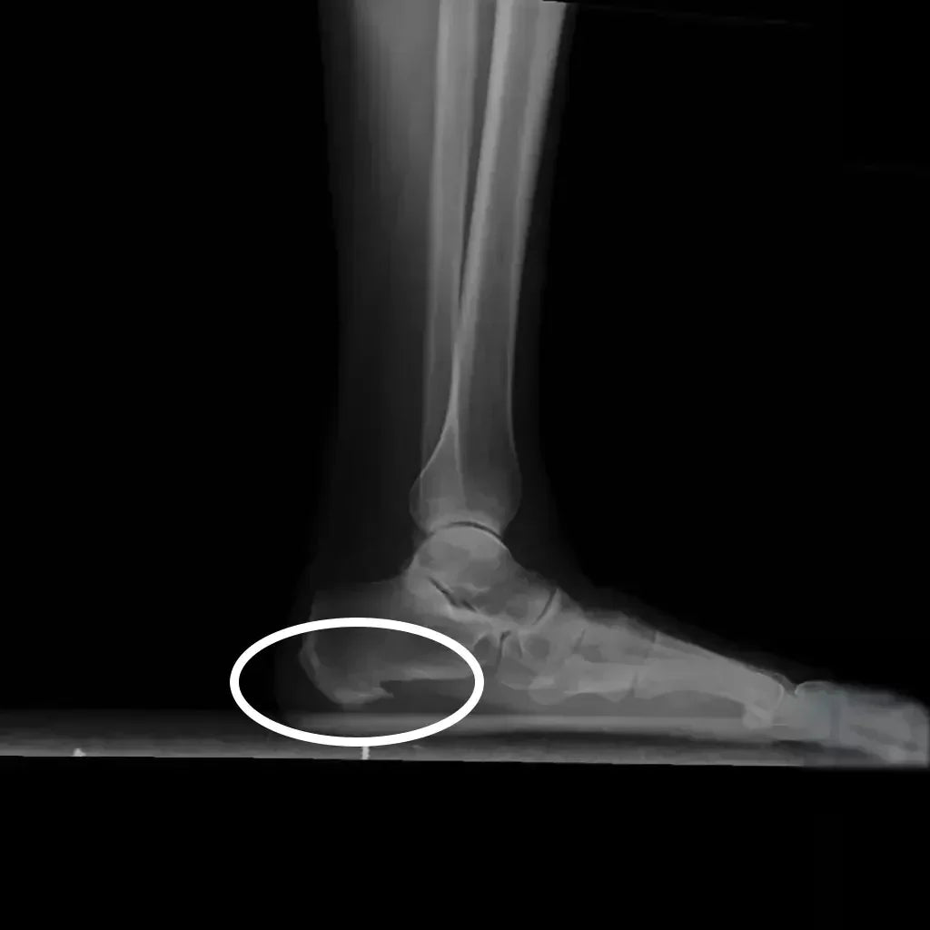
¿Qué es el espolón calcáneo?
El espolón calcáneo es una protuberancia ósea que se forma en el hueso del talón (calcáneo) debido a la acumulación de depósitos de calcio en la zona donde se inserta la fascia plantar. Esta afección puede provocar un dolor intenso y estar relacionada con la fascitis plantar, una inflamación de la fascia que recubre la planta del pie.
Causas del espolón calcáneo
El espolón calcáneo suele desarrollarse debido a factores biomecánicos y mecánicos que generan una sobrecarga en la fascia plantar y el talón, entre los cuales destacan:
- Uso de calzado inadecuado: especialmente aquellos con poca amortiguación o excesivamente planos.
- Sobrepeso u obesidad: el exceso de peso incrementa la presión sobre el talón.
- Actividad física intensa: deportes de impacto como correr o saltar pueden favorecer su aparición.
- Alteraciones biomecánicas: pies planos o cavos pueden generar mayor estrés en la fascia plantar.
- Envejecimiento: con la edad, la fascia plantar pierde elasticidad, aumentando el riesgo de microlesiones.
- Bipedestación prolongada: personas que permanecen de pie por largos periodos pueden desarrollar esta afección.

Síntomas del espolón calcáneo
El espolón calcáneo puede ser asintomático en algunos casos, pero cuando provoca síntomas, los más comunes son:
- Dolor punzante en el talón, especialmente al dar los primeros pasos en la mañana.
- Dolor que se agrava tras periodos de reposo prolongados.
- Sensación de ardor o inflamación en la parte inferior del talón.
- Molestias al caminar descalzo sobre superficies duras.
Tratamientos para el espolón calcáneo
El tratamiento del espolón calcáneo busca reducir la inflamación, aliviar el dolor y mejorar la biomecánica del pie. Algunas de las opciones más efectivas incluyen:
1. Uso de plantillas ortopédicas y calcetines biomecánicos
Las plantillas personalizadas ayudan a distribuir mejor la presión en el pie, reduciendo la tensión en la fascia plantar. Además, los calcetines biomecánicos como Podoks han demostrado reducir la presión plantar en un 25% en el primer metatarsiano y en un 23% en el primer dedo, activando el mecanismo de Windlass para mejorar la estabilidad y aliviar el dolor.
2. Calzado adecuado
Se recomienda el uso de zapatos con buen soporte del arco, amortiguación en el talón y un drop de entre 10-12 mm para mejorar la biomecánica de la pisada.
3. Terapias físicas y fisioterapia
Tratamientos como ondas de choque, ultrasonidos, electroterapia y ejercicios de estiramiento han mostrado ser efectivos para mejorar los síntomas.
4. Medicación y tratamientos médicos
El uso de antiinflamatorios bajo prescripción médica puede ayudar en casos agudos. En algunos casos, se pueden realizar infiltraciones ecoguiadas de corticoides o plasma rico en plaquetas.
5. Cirugía (en casos graves)
Solo se considera en casos donde los tratamientos conservadores no han dado resultado. La cirugía busca liberar la fascia plantar y eliminar el espolón si es necesario.
Prevención del espolón calcáneo
Para evitar la aparición del espolón calcáneo, es fundamental seguir estas recomendaciones:
- Mantener un peso adecuado para reducir la carga en el talón.
- Utilizar calzado adecuado con amortiguación y soporte.
- Realizar estiramientos diarios de la fascia plantar y el tendón de Aquiles.
- Evitar caminar descalzo en superficies duras.
- Usar calcetines biomecánicos como Podoks, que optimizan la pisada y reducen la tensión en la fascia plantar.
Conclusión
El espolón calcáneo es una condición que puede generar un dolor significativo, pero con un tratamiento adecuado y medidas preventivas, es posible aliviar sus síntomas y evitar su aparición. Apostar por soluciones biomecánicas innovadoras como los calcetines Podoks puede marcar una gran diferencia en la salud de tus pies.









Dejar un comentario
Todos los comentarios se revisan antes de su publicación.
Este sitio está protegido por hCaptcha y se aplican la Política de privacidad de hCaptcha y los Términos del servicio.